Skip to content
White Fillings Beckenham

White Fillings

Say goodbye to your cavities with white fillings! Tartar buildup can lead to cavities, that can cause you a lot of pain and discomfort. You can prevent this with good oral hygiene and brushing habits. Regular brushing, flossing, and dental checkups are key to helping you avoid the need for white fillings. However, if you do find yourself with a cavity, rest assured that white fillings are the ideal solution. We want to ensure that you are comfortable and happy with your smile and are also experiencing no pain.

What to expect

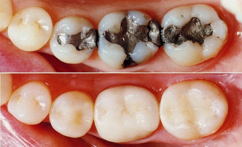
Why Choose A White Filling?

White fillings are an innovative solution for tooth decay that seamlessly blend in with your natural teeth. No one will even notice you’ve had dental work done, and they are a better and more subtle option compared to the usual metal fillings. They are made to perfectly match the shade of your teeth, making them an unnoticeable and attractive option. Some people even find they experience less post-treatment discomfort and sensitivity when having a white filling.

White Fillings in Beckenham

Do They Have Any Other Benefits?

Not only do they fill cavities, but they also safeguard your teeth from decay. Our dentists use a strong bonding material to create a solid foundation for long-lasting protection for your teeth. Another huge benefit is the preparation of the tooth for a white filling is much more conservative than for a mercury filling. When the tooth decay is removed, it means that more tooth structure is left intact and therefore, the tooth remains stronger and is more durable.

Do You Offer Other Types Of Fillings

Discover the best treatment option for your dental needs with the guidance of our experienced dentists. We’ll talk you through the entire process and explore alternative treatments, including amalgam fillings and onlays, to find what solution is best for you. If you’re dealing with a potential cavity, reach out to the talented team here at Beckenham Smiles for comprehensive information on your treatment choices. It has never been easier to book and pay for your dental treatments, and we even offer for you to split the cost of your treatments with Tabeo. Get in touch today!

Do You Offer Other Types Of Fillings

Human Teeth Close-up During Restoration of Filling