Veneers
Are you looking to wow people with your smile? Porcelain veneers are a subtle change that significantly impacts restoring your smile. Veneers are customised shells that are made to fit your existing teeth. Each shell is customised to match the natural colour of your teeth. It is a great and aesthetically pleasing treatment option that will give you the smile that you have always been hoping for.
How Does it Work?
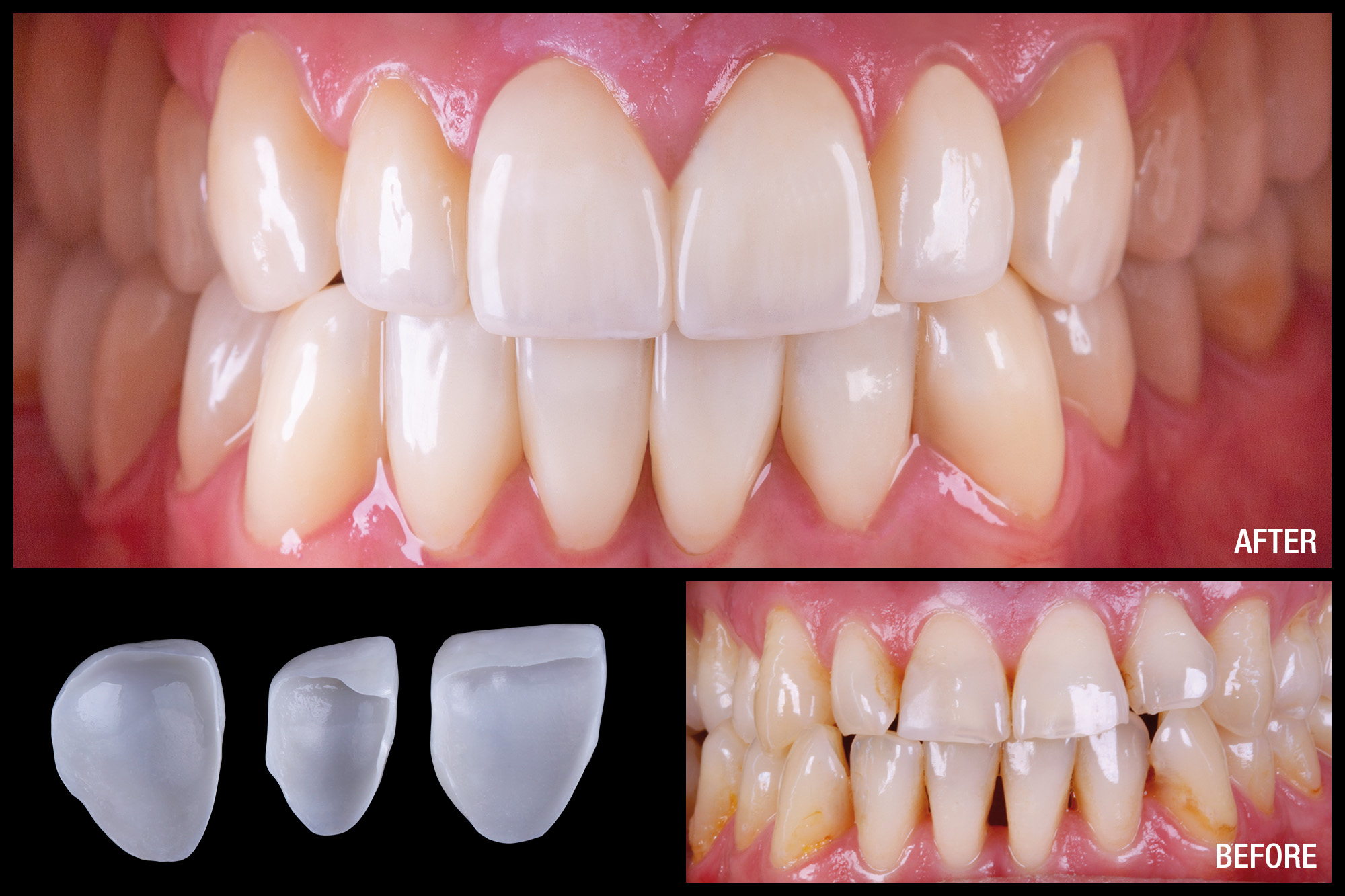
The treatment process is fairly quick and easy. You will need an initial consultation appointment with our team to discuss what you are hoping to achieve from the treatment, and they will discuss the process with you. During your first treatment appointment, your dentist will remove a small amount of enamel from your teeth to make room for the veneers to fit. They will take an impression of your teeth, which will be sent to a laboratory. This will be used to create the veneers that are tailored to fit you and your teeth. You will also need to discuss with the dentist the precise shade you wish the veneers to be. When the veneers are created, they will be bonded to your teeth using a special light for about sixty seconds. This bonds the veneers and secures them in place.
What are Porcelain Veneers?
Achieve a flawless smile with porcelain veneers. Say goodbye to tooth spacing, discolouration, and crooked teeth. These thin porcelain shells bond seamlessly to your teeth, creating the appearance of beautifully aligned teeth. Unlike composite resins, veneers are long-lasting and resistant. Crafted specifically for your teeth, they effortlessly conceal chips and cracks. This can drastically transform and give you a more confident smile.
What Can Veneers Do For Me?
There are many benefits veneers can offer you. Here are a few examples:
- Brighten your teeth.
- Improving tooth shape and alignment.
- Close any gaps in your teeth.
- Adjust your teeth size and length.
- Realign any crooked teeth or overlapping.
- Reverse any discolouration.
- Maintain your natural tooth composition.
What Can Veneers Do For Me?
Why Are Veneers The Best Option For Me?
This non-invasive treatment offers a speedy and painless recovery. Veneers can also help protect against tooth decay by filling in any gaps that might be in between your teeth. This helps to prevent any food from getting trapped and causing plaque buildup and decay. For the best results of the veneer treatment, it is important to make sure your teeth are in decent condition without excessive fillings. This is because the veneer needs to have a strong bond with the natural tooth.
Once your treatment is complete, it is crucial to ensure that you maintain good oral hygiene. This is essential to ensure that the veneers are long-lasting. You need to make sure that you are brushing at least twice a day and flossing daily. By doing this, you are ensuring that any trapped bacteria doesn’t cause plaque and cavities. You need to pay adequate attention to where the veneer meets the gum and thoroughly but gently clean the area to avoid any plaque buildup.
You can now split the cost of all our treatments at Beckenham Smiles with Tabeo. Book your consultation today with our friendly and caring team to find out more.